فهرست مطالب
سرخوردگی مهره کمر یا اسپوندیلولیستزیس یک بیماری ستون فقرات است که در ناحیه کمر باعث کمر درد می شود. زمانی اتفاق میافتد که یکی از مهرههای استخوانهای ستون فقرات، از جای خود بر روی مهره زیر خود میلغزد. ممکن است در هر جایی از ستون فقرات اتفاق بیفتد، اما سرخوردگی مهره کمر شایعتر است.
بی ثباتی ستون فقرات
سرخوردگی مهره کمر وضعیتی است که شامل بی ثباتی ستون فقرات می شود، به این معنی که مهره ها بیش از آنچه باید حرکت می کنند. در شرایطی که یک مهره از جای خود روی مهره زیرین می لغزد و ممکن است به عصب فشار بیاورد این اتفاق که سرخوردگی مهره کمر نام دارد می تواند باعث کمر درد یا پا درد شود.
سرخوردگی مهره کمر چقدر شایع است؟
اسپوندیلولیزیس در حدود 4 تا 6 درصد از جمعیت بزرگسال رخ می دهد. ممکن است سال ها با سرخوردگی مهره کمر زندگی کنید و آن را ندانید، زیرا ممکن است علائمی نداشته باشید.
کمر درد در نوجوانان
کمردرد نوجوانان برخلاف تصور رایج، پدیدهای نسبتاً شایع است و میتواند بر عملکرد تحصیلی، ورزشی و کیفیت زندگی آنها تأثیر بگذارد. اگرچه بیشتر کمردردها در این سنین غیراختصاصی و خوشخیم هستند، اما در برخی موارد ممکن است نشانهی مشکلات جدیتر ساختاری یا عصبی باشند.
کمردرد در نوجوانان معمولاً به دلیل عواملی مانند وضعیت بدنی نامناسب هنگام نشستن یا استفاده طولانیمدت از موبایل و رایانه، کشیدگی عضلانی ناشی از فعالیتهای ورزشی یا بلند کردن اجسام سنگین، و تغییرات بدنی مربوط به رشد سریع در دوران بلوغ ایجاد میشود. از دیگر علل میتوان به مشکلات ساختاری ستون فقرات مانند اسکولیوز یا اسپوندیلولیز، آسیبهای ناشی از ضربه، و در موارد نادر، عفونتها یا تومورها اشاره کرد. همچنین استرس و فشارهای روانی نیز میتوانند بهصورت دردهای عضلانی از جمله کمردرد ظاهر شوند.
علائم معمول شامل درد مبهم یا تیز در ناحیه پایین کمر، سفتی و محدودیت حرکتی، و در برخی موارد تشدید درد هنگام نشستن یا ایستادن طولانیمدت است. در صورت وجود علائمی مانند درد تیرکشنده به پا، بیحسی، ضعف عضلانی، تب یا کاهش وزن، بررسی پزشکی فوری توصیه میشود.
هنگامی که کمردرد در نوجوانان رخ می دهد، اسپوندیلولیستزیس ایسمیک (معمولاً ناشی از اسپوندیلولیزیس) یکی از شایع ترین علل است.
اسپوندیلولیستزیس دژنراتیو (که به دلیل افزایش سن و ساییدگی و پارگی ستون فقرات رخ می دهد)، بعد از 50 سالگی شایع تر است و در زنان شایع تر از مردان است.
انواع سرخوردگی مهره کمر چیست؟
انواع اسپوندیلولیستزیس عبارتند از:
- مادرزادی زمانی اتفاق می افتد که ستون فقرات نوزاد قبل از تولد به شکلی که باید شکل نگیرد. مهره های نامرتب فرد را در معرض خطر لغزش در مراحل بعدی زندگی قرار می دهد.
- ایسمیک در نتیجه اسپوندیلولیز اتفاق می افتد. ترک یا شکستگی استخوان را ضعیف می کند.
- دژنراتیو شایع ترین نوع، به دلیل افزایش سن اتفاق می افتد. با گذشت زمان، دیسک هایی که مهره ها را محافظت می کنند، آب خود را از دست می دهند. با نازک شدن دیسک ها، احتمال اینکه از جای خود خارج شوند، بیشتر می شود.
موارد کمتر شایع اسپوندیلولیستزیس عبارتند از:
- تروماتیک زمانی اتفاق می افتد که یک آسیب باعث لغزش مهره ها شود.
- پاتولوژیک زمانی اتفاق می افتد که یک بیماری – مانند پوکی استخوان – یا تومور باعث ایجاد این بیماری شود.
- اسپوندیلولیستزیس پس از جراحی، لغزش در نتیجه جراحی ستون فقرات است.
علت سرخوردگی مهره کمر
ممکن است به علت دلایل زیر احتمال ابتلا به سرخوردگی مهره کمر بیشتر باشد:
ورزش
ورزشکاران جوان (کودکان و نوجوانان) که در ورزش هایی که باعث کشش ستون فقرات کمری می شوند، مانند ژیمناستیک و فوتبال شرکت می کنند، بیشتر در معرض ابتلا به اسپوندیلولیستزیس یا سرخوردگی مهره کمر هستند. سرخوردگی مهره کمر معمولاً در طول رشد کودکان رخ می دهد. سرخوردگی مهره کمر یکی از شایع ترین دلایل کمردرد در نوجوانان است.
ژنتیک
برخی از افراد مبتلا به اسپوندیلولیستزیس ایسمیک با بخش نازکتری از مهره متولد میشوند. این قطعه نازک استخوان، مفاصل فاست را به هم متصل می کند، که مهره ها را مستقیماً در بالا و پایین به هم متصل می کند تا یک شرایطی به وجود آورد که می تواند حرکت ستون فقرات را امکان پذیر کند. نواحی که نازکتر از مهرهها هستند احتمال شکستگی و لغزش بیشتری دارند. سرخوردگی مهره کمر ها همچنین دارای یک دلیل ژنتیکی مهم است.
سن
با افزایش سن، شرایط تحلیلی و تخریبی ستون فقرات ممکن است ایجاد شود، که زمانی است که سایش ستون فقرات باعث ضعیف شدن مهرهها میشود. افراد مسنی که به بیماریهای دژنراتیو ستون فقرات مبتلایند ممکن است در معرض خطر بیشتری برای سرخوردگی مهره کمر ها باشند. سرخوردگی مهره کمر ها بعد از 50 سالگی شایع تر می شود.
درجه بندی اسپوندیلولیستزیس
برای تعیین شدت اسپوندیلولیستزیس، متخصص ستون فقرات به آن درجه می دهد:
- درجه پایین (درجه I و II) معمولاً نیازی به جراحی ندارد. موارد درجه پایین معمولاً در نوجوانان مبتلا به اسپوندیلولیستزیس ایسمیک و تقریباً در همه موارد اسپوندیلولیستزیس دژنراتیو دیده می شود.
- درجه بالا (درجه III و IV) اگر درد زیادی دارید ممکن است نیاز به جراحی داشته باشد.
علائم سرخوردگی مهره کمر چیست؟
ممکن است علائم اسپوندیلولیستزیس را تجربه نکنید. برخی از افراد این بیماری را دارند و حتی آن را نمی دانند. اگر علائمی دارید، کمر درد به طور معمول درد اصلی است. درد باسن و پایین ران هم ممکن است زخ دهد. همچنین ممکن است تجربه کنید:
- اسپاسم عضلانی در همسترینگ (عضلات پشت ران)
- سفتی پشت
- مشکل در راه رفتن یا ایستادن برای مدت طولانی
- درد هنگام خم شدن
- بی حسی، ضعف یا گزگز در پا
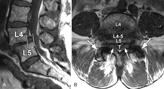
تشخیص سرخوردگی مهره کمر

به چه تصویربرداری پزشکی نیاز دارم؟
- اشعه ایکس ستون فقرات به پزشک ستون فقرات کمک می کند تا ببینند آیا مهره در جای خود هست یا خیر.
- سی تی اسکن یا ام آر آی MRI ممکن است برای دیدن ستون فقرات با جزئیات بیشتر یا دیدن بافت نرم مانند دیسک ها و اعصاب لازم باشد.
درمان سرخوردگی مهره کمر
اکثر بیماران تا زمانی که سرخوردگی مهره کمر آنها ثابت باشد، به هیچ درمان جراحی نیاز نخواهند داشت، به این معنی که مهره دیگر به جلو نمی لغزد. متخصص ستون فقرات شما به احتمال زیاد می خواهد سرخوردگی مهره کمر شما را در فواصل زمانی منظم بررسی کند.
درمان بدون جراحی سرخوردگی مهره کمر
- دو تا سه روز استراحت در رختخواب
- توانبخشی و فیزیوتراپی
- شنا یا پیاده روی در آب
- محدودیت فعالیت در ناحیه کمر، بدون ورزش های شدید (وزنه برداری، ژیمناستیک، یا فوتبال)، بلند کردن اجسام سنگین، خم شدن بیش از حد، چرخش یا خم شدن
- داروهایی برای کنترل التهاب، اسپاسم عضلانی و/یا درد
- بریس یا اُرتُز برای کمک به کاهش اسپاسم و درد عضلانی
اکثر افرادی که سرخوردگی مهره کمر دارند، متوجه میشوند که درمانهای غیرجراحی، مانند فیزیوتراپی و بریسبندی، درد را تسکین میدهد و عملکرد را بهبود میبخشد. در طول درمان،متخصص سرخوردگی مهره کمر ممکن است برای نظارت بر مهره آسیب دیده و اطمینان از عدم پیشرفت وضعیت، از ستون فقرات شما عکس برداری دوره ای با اشعه ایکس بگیرد. خطر پیشرفت – که اغلب به این معنی است که مهره آنقدر به جلو می لغزد که اعصاب مجاور را فشرده می کند این مورد در افراد زیر 16 سال بیشتر است زیرا ستون فقرات هنوز در حال رشد است.
در بزرگسالانی که دچار بیماریهای دژنراتیو یا تحلیل شونده مانند استئوآرتریت ستون فقرات یا بیماری دژنراتیو دیسک هستند، سرخوردگی مهره کمر ممکن است در نتیجه آسیب پیشرونده به مفاصل و دیسکهای ستون فقرات بدتر شود. این می تواند باعث شود مهره ها از ثبات کمتری برخوردار شوند. درمان غیرجراحی معمولاً می تواند از پیشرفت بیماری جلوگیری کرده و علائم را تسکین دهد.
ورزش های سرخوردگی مهره کمر
اگر ورزشها یا فعالیتهای خاصی باعث افزایش کمردرد میشوند، پزشک ممکن است به شما توصیه کند تا زمانی که درد کاهش یابد، از آنها استراحت کنید. این بدان معنا نیست که شما باید بی تحرک بمانید. فعالیت های متوسط و کم تاثیر مانند تای چی یا شنا باعث افزایش جریان خون در ستون فقرات می شود و می تواند سرعت بهبودی شما را افزایش دهد.
بریس
همچنین ممکن است پزشک استفاده از بریس پشتی را برای حمایت از کمر و جلوگیری از ایجاد انحنای غیرعادی در ستون فقرات توصیه کند. به طور کلی، پزشکان توصیه می کنند هر زمانی که استراحت نمی کنید از بریس استفاده کنید. پزشک شما نوع مناسب بریس را برای شما و مدت زمان استفاده از آن تعیین می کند.
داروها
داروهای مختلفی برای تسکین درد ناشی از سرخوردگی مهره کمر وجود دارد. بیشتر این ها مسکن هستند، اما می توانید از شل کننده های عضلانی و داروهای ضد التهابی نیز استفاده کنید. داروهای زیر بیشترین استفاده را دارند. همه آنها بدون نسخه در صورت مصرف با دوز پایین در دسترس هستند:
- داروهای ضد التهابی غیر استروئیدی NSAIDs
- استامینوفن، پاراستامول
برخی از گزینه های دارویی باید توسط پزشک تجویز شود. این داروها شامل:
مسکن های قوی
این داروها فقط تحت نظارت پزشکی قابل استفاده هستند. برخی به شکل پچ در دسترس هستند. این داروها ممکن است عوارض جانبی مختلفی داشته باشند که برخی از آنها جدی هستند. از حالت تهوع، استفراغ و یبوست گرفته تا سرگیجه، مشکلات تنفسی و نوسان فشار خون متغیر است. استروئیدها:
داروهای کاهش دهنده التهاب که می توانند برای درمان بیماری های مختلف به صورت سیستمیک استفاده شوند. اگر دارو در تمام بدن پخش شود، به آن یک درمان سیستمیک می گویند. این زمانی اتفاق میافتد که به صورت قرص مصرف شود، به عضله تزریق شود یا از طریق ورید (انفوزیون) تزریق شود. استروئیدهای سیستمیک میتوانند التهاب را تسکین داده و درد را تسکین دهند.
شل کننده های عضلانی
آرام بخش هایی که عضلات را نیز شل می کنند. مانند سایر داروهای روانگردان، آنها می توانند باعث خستگی و خواب آلودگی شوند و بر توانایی شما در رانندگی تأثیر بگذارند. شل کننده های عضلانی همچنین می توانند بر عملکرد کبد شما تأثیر بگذارند و باعث عوارض گوارشی (معده و روده) شوند.
درمان سیاتیک بدنبال سرخوردگی مهره کمر
گزینه های مورد استفاده برای درمان سیاتیک به دنبال سرخوردگی مهره کمر نیز شامل درمان دستی و درمان های مبتنی بر محرک های فیزیکی است. درمان دستی ممکن است شامل ماساژ و تکنیکهای ویژه برای آرام کردن عضلات منقبض یا مفاصل قفل شده باشد. درمانهای مبتنی بر محرکهای فیزیکی از روشهای گرم کردن و سرد کردن برای تسکین درد استفاده میکنند.
روش های درمان
ماساژ: تکنیک های مختلف ماساژ برای شل کردن عضلات و کاهش فشار عضلانی استفاده می شود.
گرمایش و سرمایش: این شامل استفاده از بسته های گرم و تکه های گرمایشی، حمام آب گرم، رفتن به سونا یا استفاده از لامپ مادون قرمز است. گرما همچنین می تواند به شل شدن عضلات منقبض کمک کند. بسته های سرد، مانند بسته های سرد یا بسته های ژل، نیز برای کمک به تسکین اعصاب تحریک شده استفاده می شوند.
اولتراسوند درمانی: در اینجا قسمت پایین کمر با امواج صوتی درمان می شود. ارتعاشات کوچکی که ایجاد می شود گرما ایجاد می کند و بافت بدن را شل می کند.

فیزیوتراپی
فیزیوتراپی می تواند درد ناشی از سرخوردگی مهره کمر را تسکین دهد و شما را قادر می سازد به ورزش و سایر فعالیت ها بازگردید. در مرکز توانبخشی، فیزیوتراپیستهایی که در کمک به بهبودی افراد از آسیبهای ستون فقرات تخصص دارند، میتوانند تمرینات سادهای را برای تقویت عضلات شکم و کمر به شما آموزش دهند. عضلات مرکزی قوی میزان استرس و فشار وارده به ستون فقرات را کاهش میدهند و یک «بریس» داخلی ایجاد میکند که ستون فقرات را پشتیبانی و تثبیت میکند.
حرکات ورزشی
ورزش درمانی و کشش و تقویت ماهیچه هایی که از ستون فقرات حمایت می کنند نیز می تواند ناراحتی را تسکین دهد و فشار وارده بر کمر را کاهش دهد. افراد مبتلا به سرخوردگی مهره کمر اغلب دارای همسترینگ کوتاه هستند که در امتداد پشت پاها بین باسن و زانو قرار دارند. فیزیوتراپ ها می توانند تمرینات کششی را به شما آموزش دهند که می توانید روزانه در خانه انجام دهید.
فیزیوتراپیست ها بر اساس علائم شما و نتایج آزمایشات تصویربرداری تشخیصی مانند اشعه ایکس، حرکات ورزشی سرخوردگی مهره کمر را ارائه می کنند تا مطمئن شوند که برای شما مناسب است.
متخصص ستون فقرات
بهترین متخصص ستون فقرات در تهران شما ممکن است 6 تا 12 هفته فیزیوتراپی در مرکز توانبخشی یا در یک مرکز نزدیک خانه شما توصیه کند. فیزیوتراپ شما هر شش هفته یکبار پیشرفت شما را ارزیابی می کند تا مشخص کند که آیا به درمان بیشتری نیاز است یا خیر.
درمان جراحی
اگر اسپوندیلولیستزیس با درجه بالا دارید، درد شدید است یا درمانهای غیرجراحی را بدون موفقیت امتحان کردهاید، ممکن است به جراحی نیاز داشته باشید. اهداف جراحی اسپوندیلولیستزیس عبارتند از:
- درد ناشی از عصب تحریک شده را تسکین دهید.
- ستون فقرات را در جایی که مهره لیز خورده است تثبیت کنید.
- عملکرد خود را بازیابی کنید.




بدون نظر